Shandon Dental

Shandon Dental
4 Shandon St
T23 PX39, Cork
+353214305569

Opening hours

  • sunday: (closed)
  • monday: 9h-18h
  • tuesday: 9h-20h
  • wednesday: 9h-18h
  • thursday: 9h-18h
  • friday: 9h-17h
  • saturday: 9h-13h

Shandon Dental Clinic in Cork City are committed to making each of your dental visits exceptional. Our doctors regularly attend continuing education courses, so that we can provide you with the up to date state-of-the-art treatments.

Whenever you need teeth whitening, veneers, cosmetic dentistry procedures, restorative care (white fillings and crowns) or periodontal therapy, we posses the required skills and experience to your satisfaction.

Our Dental Clinic located in the heart of Cork City is equipped with a wheelchair friendly waiting room and all the surgeries are on the ground floor.

Our comment from Best Dentists Club about Shandon Dental:

Shandon Dental is a top-rated dental practice located in Cork, renowned for its exceptional service and friendly staff. Clients highlight the welcoming atmosphere and professional care provided by all team members, making dental visits a stress-free experience. The following aspects stand out:

  • Outstanding Service: Many users describe their experiences as 'fantastic' and 'amazing', with particular praise for Dr. Seamus and his team for their gentle and thorough approach.
  • Welcoming Environment: Numerous reviews mention the friendly nature of the staff, contributing to a welcoming environment that makes patients feel at ease.
  • Efficient Appointments: Clients appreciate the prompt service and minimal waiting times, with flexible scheduling options including evening and weekend appointments.
  • Professionalism: The dentists at Shandon Dental are consistently noted for their professionalism, with thorough explanations of treatment processes and a commitment to high-quality care.
  • Clean and Modern Facilities: The clinic is described as clean and well-maintained, adhering to health protocols that ensure a safe experience for all visitors.

Overall, Shandon Dental is highly recommended by patients who feel valued and cared for, making it a preferred choice for dental care in Cork.

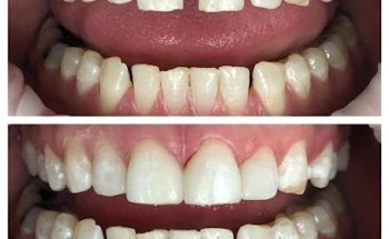
Services and Treatments

Teeth Whitening

Shandon Dental: Reviews

5/5 (109 Reviews)
Donal Barry Published on Google 9 months ago

Fantastic experience: Excellent service from all staff, best dental practice I've ever dealt with,easy to communicate with made me feel at ease every time, would recommend to anyone

Sharon Oleary Published on Google 9 months ago

Fantastic experience: I had the new ,'Dental Clean' from the hygienist and it was the best I have ever had done. Thank you and see you soon

Rachel Kiely Published on Google 9 months ago

Fantastic experience: Couldn’t recommend Shanon Dental more. They’re extremely accommodating and all of the staff are so lovely. They provide an excellent service so would definitely recommend if you’re looking to get back to the dentist!

Níall Ó Horgáin Published on Google 9 months ago

Fantastic experience: Fantastic service! Dr Seamus is a thorough and professional dentist. Would highly recommend Shandon Dental.

emer allen Published on Google 9 months ago

Fantastic experience: This was my first time useing Shandon Dental and l was very happy with the service l got.All the staff were really nice and friendly....will be going back

Owen O'Sullivan Published on Google 10 months ago

Fantastic experience: Great dentists with lovely staff. Always available with helpful advice. They also have evening and Saturday appointments.

Sharon Moloney Published on Google 10 months ago

Fantastic experience: Just like to leave a review on the excellent job that was done at Shandon Dental, the staff were very helpful and pleasant and the cleaning i had done was excellent, Iv recommended them to my friends and will go again for my 6 month checkup. Excellent service Shaz.

Jonathan Conroy Published on Google 11 months ago

Fantastic experience: Great dentist

Katie O Brien Published on Google 11 months ago

Fantastic experience: Best dental practice around!! All the staff are fantastic especially Dr Neil and Nurse Ciara they so gentle and reassuring 10/10 experience with them always

sean murphy Published on Google 11 months ago

Fantastic experience: Had a visit with Seamus recently and he couldn't be more helpful. Also went above and beyond the keep to keep the costs to a minimum. More than satisfied with my whole experience

Cian Shine Published on Google 1 year ago

Fantastic experience: Great staff

Sinéad Murphy Published on Google 1 year ago

Fantastic experience: I have attended this dental practice for many years and always receive the highest standard of treatment. All the dentists here work to a very high standard and the reception staff and dental nurses are very professional. I can only highly recommend this dental practice.

Dillon Graham Published on Google 1 year ago

Fantastic experience: Seamus is a top class dentist, very welcoming practice.

Tracey Murphy Published on Google 1 year ago

Fantastic experience: It was a pleasant experience. Very welcoming staff

Ewelina Brzozowska Published on Google 1 year ago

Fantastic experience: By far the best dental practice around! Very clean, so easy to make an appointment, great atmosphere and a welcoming and friendly environment. The biggest points have to go to the staff, especially the ladies at reception!! It’s rare to see such amazing customer service, they are very approachable and just as the fantastic dentist they have there, they are more than happy to spend extra time to go over any additional information you might want to go over. You can tell it’s a great place as each time I visit all the staff have genuine smiles on their faces. I would give it 10/5 stars if I could, can’t recommend enough!!!!

Aidan Buckley Published on Google 1 year ago

Fantastic experience: Brilliant practice to deal with. All staff are exceptionally friendly, welcoming and professional. Will definitely be back.

Eleanor O'Flynn Published on Google 1 year ago

Fantastic experience: It was my first time at Shandon Dental and I have to say I was super impressed I'm a nervous person at times but all the staff I met were super friendly and very professional thank you so so much I will definitely be going back ❤️

Noelette Corrigan Published on Google 1 year ago

Fantastic experience: Always feel at ease great dentist I never mind visiting

Antonija Katusic Published on Google 1 year ago

Fantastic experience: Amazing service. Very professional staff. Highly recommend.

Mick Finn Published on Google 1 year ago

Fantastic experience: Great service with great staff.

clair hegarty Published on Google 1 year ago

Fantastic experience: Nice dentists and dental nurses feel very comfortable because I have a fear of dentist's so very happy with Shandon dental,

Simon Murphy Published on Google 1 year ago

Fantastic experience: Highly recommended. Staff are friendly and helpful. The work is excellent and the best dentist I've been to in years. I had a few appointments in the last couple of months and I was in and out in no time but didn't feel rushed. I will be going back there even this it's a 2 hour drive for me. Well worth it.

Christine Power Published on Google 1 year ago

Fantastic experience: This is a great Dental practice with really friendly staff.

Johann Wall Published on Google 1 year ago

Fantastic experience: Been going to this dental surgery for over 15years very friendly staff

Aislinn Troy Published on Google 1 year ago

Fantastic experience: First visit to this dental clinic and I hadn’t been to the dentist in years and it was such a great experience TJ was a lovely dentist explained everything and was very patient would highly recommend.

trevor roberts Published on Google 1 year ago

Fantastic experience: very professional Dental practice

Emmanuel T Published on Google 1 year ago

Fantastic experience: Great dentist in Cork. Fast, friendly and efficient service. Thanks!

Mary Jane O Regan Published on Google 1 year ago

Fantastic experience: Really nice practice with reasonable pricing and kind staff. Highly recommend them. Good opening times too

Huimin Ye Published on Google 1 year ago

Fantastic experience: I had a very good experience here. The dentists are so kind and professional. Thanks to the good service, I am willing to be there and take care of my teeth. Thank you so much!

Mary O Brien Published on Google 1 year ago

Fantastic experience: Great service for your dental check ups and also for the hygienist...lovely staff that always welcome you with a smile...the location is perfect..

Juliet Haykal Published on Google 1 year ago

Fantastic experience: I had a very good experience here. The staff were incredibly nice, and the dentists were not only skilled but also very gentle. I felt comfortable throughout the entire process. Highly recommend them!

Josh O Regan Published on Google 1 year ago

Fantastic experience: I've been going to Shandon Dental now for the past 18 months or so after my previous dentist retired. The whole team there are so professional and made me feel welcome from day one. Just last week they finished off a crown for me; absolutely delighted, not only with the result but also the efficiency / typical punctuality when visiting the clinic and the friendly care provided.

Susan Ryan Published on Google 1 year ago

Fantastic experience: Staff are lovely felt very relaxed highly recommend

- femi - Published on Google 1 year ago

Fantastic experience: Amazing first time experience, N, K, and S were very welcoming, explaining and making things as smooth as butter. 10/10

Viktoriia Railko Published on Google 1 year ago

Fantastic experience: I highly recommend Shandon clinic! Everything is on high level, very nice staff and excellent service, I had a cleaning and fillings done according to my medical card. T.J Palmer did everything just great, fast, high quality and painless. Fantastic)

Tom Browne Published on Google 1 year ago

Fantastic experience: Top dental practice, great staff and excellent service.

Katie De Bhaldraithe Published on Google 1 year ago

Fantastic experience: Such a great team at Shandon Dental. Courteous, prompt and caring professionals. Melissa was very encouraging on the phone and offered me a swift appointment. Denissa was gentle and thorough. Séamas and his dental nurse attentive, informative and took time to answer my questions As a client who is normally very anxious and self concious the team at Shandon Dental have helped me to perhaps consider a new way of contemplating a dentist check up after decades of fear. Thank you all!

Ken O Published on Google 1 year ago

Fantastic experience: Easy to book, very professional staff and service, quality work and not much time waiting to be seen.

Adam O'Callaghan Published on Google 1 year ago

Fantastic experience: Went to Alma for teeth cleaning - I have had a fear of dentists since I was young she was absolutely fantastic! Super friendly, informative and patient. I’ve already booked my next visit! Thanks Alma!

Claudusia McQuin Published on Google 1 year ago

Fantastic experience: Very friendly staff, Dr. Seamus does a great job, I highly recommend him

Jack Sutcliffe Published on Google 1 year ago

Fantastic experience: Excellent service, people are very nice, and the office is new and clean. Very responsive when organising a appoint over the phone and text reminder system they have in place is perfect for me.

Brian Quinlan Published on Google 2 years ago

Fantastic experience: Excellent dentists , such friendly staff and professional service Highly recommend

John O Reilly Published on Google 2 years ago

Fantastic experience: Fantastic experience. Everyone I dealt with from the first phone call to the appointment was friendly and very helpful. There was no feeling of judgment, only necessary feedback and advice. The clinic is modern and confortable also. Amazing practice and amazing staff

sean kelleher Published on Google 2 years ago

Fantastic experience: Went to Shandon dental for a checkup and a cleaning recently. The staff were very welcoming when I arrived. The checkup and cleaning were both carried out very efficiently and at no stage did I feel like I was being rushed. I Would highly recommend Shandon dental.

Chris Cunningham Published on Google 2 years ago

Fantastic experience: Found Shandon Dental via google maps search. In the chair within 5 minutes of my booked appointment time - incredible time management (or perhaps my standards are low from North American dental practices ). Shauna and Dr. Tully worked effectively as a team, very skilled and experienced. The dentist clearly explained every step of the way which I found neat and reassuring. Check-up, x-rays, cavity filling, and recommendations all completed painlessly and in under 45 minutes total. Fees were great as well. Overall, fantastic dental work experience.

Diarmuid Barry Published on Google 2 years ago

Fantastic experience: Really good dentist, always very professional, helpful and friendly. Thank you.

Dave Linehan Published on Google 2 years ago

Fantastic experience: Fantastic dental clinic - extremely professional, polite and friendly staff, and great service.

Irina Kotliuba Published on Google 2 years ago

Fantastic experience: Very good dental practice. Would recommend it to everybody.

Jennifer Murphy Published on Google 2 years ago

Fantastic experience: Highly recommended! The receptionist went above and beyond to schedule a last minute appointment. Lovely staff, excellent service.

Jolene O Donovan Published on Google 2 years ago

Fantastic experience: Highly recommend Shandon dental. Sheamus is fantastic at getting the job done right. I Always leave with a big smile on my face and really cheap for price I would not go anywhere else after finding Shandon dental back in 2020

Dave Barry Published on Google 2 years ago

Fantastic experience: Great dental clinic. Very courteous and professional staff. I have been to see Seamus on a few occasions, and he has always been professional while always up for a chat and a laugh and a joke. I couldn't recommend this practice highly enough.

Ronan McInerney Published on Google 2 years ago

Fantastic experience: Excellent service from Seamus and Neil - I have been in to see both of them. Efficient service, always helpful and great to explain what they are doing and to give advice.

timmy o sullivan Published on Google 2 years ago

Fantastic experience: Great service lovely staff very professional

Aideen Published on Google 2 years ago

Fantastic experience: Great dentist and lovely staff. Very informative. Will return to them for my check ups and cleanings. :)

Jamie Fitzsimons Published on Google 2 years ago

Fantastic experience: Very professional from start to finish. For some reason...this review was marked this review as spam...its not. This review is 3 years old and I had a back tooth filled in 2 places

Ivan žambok Published on Google 2 years ago

Negative experience: dentists who say that mercury fillings are better than white fillings are surely lying, it's poison

Ghazal Mahdavian Published on Google 2 years ago

Fantastic experience: The staff at Shandon Dental are fantastic. They do a great job and are so friendly and warm. I highly recommend this practice!

Angela Murray Published on Google 2 years ago

Fantastic experience: Exceptional service and fantastic results!

Alison Brady Published on Google 3 years ago

Fantastic experience: Absolutely delighted with the work Shandon Dental done on my teeth! Thank you all so much

james cotter Published on Google 3 years ago

Fantastic experience: Very professional and friendly practice and it starts with the reception staff from the minute you walk in the door. Dr. Neil has been fantastic, as has his colleague Dr. Seamus. Everything was mapped out for me and a plan put in place for work I need to have done over time. The visits themselves and the work done has been painless. This practice and its staff tick all the boxes for the standards of best practice. I would highly recommend Shandon Dental to anyone looking for a dentist or considering changing practice.

Dinnyspuds Published on Google 3 years ago

Fantastic experience: Very friendly staff and the dentist explained everything as much as i wanted to before doing it. honestly the only time ive felt ok about returning to a dentist. Would highly recommend it

Cristhian Ernesto Nuñez centeno Published on Google 3 years ago

Fantastic experience: Amazing experience! The dentist was very attentive to detail and very friendly. I highly recommend this place, the staff is very nice.

Michael Lehane Published on Google 3 years ago

Fantastic experience: Seamus is very caring and understanding all staff are extremely friendly I highly recommend Shandon dental I am very happy after the treatment I received

Patrick Kenneally Published on Google 3 years ago

Fantastic experience: I highly recommend Shandon Dental. The staff are professional and friendly. The procedures went very smoothly and I am delighted with the outcomes.

Victoria Prieto Published on Google 3 years ago

Fantastic experience: My first time coming for just a check up and cleaning, they were super quick, efficient and friendly. Will be coming back!

Eric Oh Published on Google 3 years ago

Fantastic experience: Couldn’t recommend this place more. Extremely friendly staff. Seamus the dentist goes out of his way to make people feel calm and reassured. Wouldn’t go anywhere else.

Angela O Leary Published on Google 3 years ago

Fantastic experience: Got my teeth done here great results

paul crowley Published on Google 3 years ago

Fantastic experience: Efficient, friendly and professional service as always

Maximus Decimus Meridius Published on Google 3 years ago

Fantastic experience: Excellent people excellent service.

Tara Mullally Published on Google 3 years ago

Fantastic experience: The loveliest people!

James Leonard Published on Google 3 years ago

Fantastic experience: Friendliest service you will ever have. Clean and welcoming environment.

Cormac Ó Liatháin Published on Google 3 years ago

Fantastic experience: Great dentist.

Paul Sunday Published on Google 3 years ago

Fantastic experience: Went there for a check up and teeth polishing. Was my first time at a dentist too. Very friendly bunch of people, highly efficient service. Very nice looking place aesthetically too. Really can’t go wrong with Shandon Dental.

paola versaggi Published on Google 3 years ago

Fantastic experience: Welcoming place and everyone is so nice since the first time I entered the studio almost 3 years. Ago.Recommended already to some friends

Pad Tag Published on Google 3 years ago

Fantastic experience: Great service. Sorted the psr payment for us kindly! Appreciated!

Tim Ryan Published on Google 4 years ago

Fantastic experience: Very efficient very good and kind would really recommend if you are having a problem

Jonny Walsh Published on Google 4 years ago

Fantastic experience: I woukdnt recomend going anywhere else ,The staff are fantastic,so pleasent ,so helpfull and the work is amazing.thats why i travel from east cork to shandon street.thank you all ye have a great team

Anonymous Published on Google 4 years ago

Fantastic experience: Muy amable el personal y excelente calidad de servicio.

Me Patrick Published on Google 4 years ago

Fantastic experience: Very good staff and never let u down

Stephen O Sullivan Published on Google 4 years ago

Fantastic experience: Absolutely fantastic,10/10 for Seamus!

Calvin Choy Published on Google 4 years ago

Fantastic experience: Seamus is so friendly! And also the staff, Sinead and Malissa. Very helpful and informative. Provided such a comfortable environment to get my dental treatment. Definitely would recommend to anyone

Catherine Lyons Published on Google 4 years ago

Fantastic experience: Very pleasant and efficient. I was nervous going in but they put me totally at ease. I would definitely recommend them

Julia M Published on Google 4 years ago

Fantastic experience: I have attended Shandon dental for routine check ups, a visit to a hygienist and once with tooth pain/infection. Each time I have been very happy with appointments. I would recommend them to anyone looking for dental care in Cork City.

liadain murphy Published on Google 4 years ago

Fantastic experience: I swapped to Shandon dental over a year and a half ago. Highly recommend. I'm a big fan of Seamus Ryan, who genuinely provides excellent proactive care. They always manage to fit me in if the need is urgent and ensure even bigger procedures, like root canals are as painless as possible. The tooth whitening is a great bonus!

Megan O'Sullivan Published on Google 4 years ago

Fantastic experience: Really great service and such a nice team. Put you at ease straight away and make the visit more relaxing. You walk out feeling so glad you went. Give great advice to help you maintain your teeth at home.

Hayley- Jenifer Published on Google 4 years ago

Fantastic experience: I had a great experience at Shandon Dental. Everyone was very kind, professional, and they didn’t try to rush me for the next patient or sell me anything. They were very understanding with me (as I have a fear of the dentist) and they gave me breaks during the scaling. The facility was very clean and COVID guidelines were diligently followed. I will definitely return to Shandon Dental and I have recommended them already to my friend. I really appreciate the service I received!

Savhannah Richter-auger Published on Google 4 years ago

Fantastic experience: My Fiancé and I are consistently happy with the service at Shannon dental! Amazing dental care and the staff are extremely kind!

Darragh McHugh Published on Google 4 years ago

Fantastic experience: Professional, friendly and caring. I've been a patient there for a long time and can't recommend highly enough.

Zneaker Plugz Published on Google 4 years ago

Fantastic experience: Without the slightest doubt - i can say with confidence that Seamus Ryan and his team at Shandon Dental are amazing !!! The service & the work is outstanding. They do take very good care of their patients & give honest advice . I was able to fully trust Seamus and his team to look after my root-canal & crown work and am thrilled with the results. Full 5 Stars for this amazing Dentistry Team ! Thanks again . CHRIS

Connor Meenehan Published on Google 4 years ago

Fantastic experience: Seamus is a truly excellent dentist. He excels in making sure every little detail is checked, and advises on the best procedures necessary. I would highly recommend Shandon Dental to anybody looking for a great dentist.

cliodhna heffernan Published on Google 4 years ago

Fantastic experience: Brilliant service, highly recommend

Greg Purcell Published on Google 4 years ago

Fantastic experience: Above and beyond service experience. Lovely team working there in a very friendly atmosphere.

Monika Kaminska Published on Google 4 years ago

Fantastic experience: I came in to the clinic full of fear & anxiety. This turned out to be the “BEST” dental experience. I was truly taken care of. Dr Seamus and his staff are amazing, caring and professional.

Shaun Woods Published on Google 4 years ago

Fantastic experience: Nothing but positive things to say about Seamus and the Team at Shandon Dental - Organised, Caring and First Class and would recommend highly. Shaun.

Danny Aherne Published on Google 4 years ago

Fantastic experience: Friendly and amazing service!

Przemysław Nowak Published on Google 4 years ago

Fantastic experience: Very nice staff and professional approach to patient. Diagnostic process was detailed and conducted perfectly.

Tess B Published on Google 4 years ago

Fantastic experience: Helped me to get an apt very quickly for a painful tooth problem and were unbelievably helpful, affordable and kind!

jean fleming Published on Google 4 years ago

Fantastic experience: Extremely professional staff. Always an excellent service from reception to treatment. Highly recommend.

Yvonne Published on Google 4 years ago

Fantastic experience: I would highly recommend Seamus and all the staff at Shandon Dental, recently had an implant fitted and Seamus did a tremendous job on doing the crown. From the impression to the fitting he had great patience and made sure I was completely happy with the final result.

John Holland Published on Google 4 years ago

Fantastic experience: Top notch service, wouldn't hesitate to recommend Shandon Dental!

Leave your opinion about Shandon Dental:

1 = bad
5 = Excellent

Shandon Dental appears in the following listings:

Other dentists you may be interested in

4.6 (18)
Perfect Smile - Katarzyna Dolata

Perfect Smile - Katarzyna Dolata

See address and contact data
99 Shandon St - T23 KDH2, Cork
+353894190100
5 (17)
Monahan Dental Practice
Monahan Dental Practice

Monahan Dental Practice

See address and contact data
12 Popes Quay - T23 FX01, Cork
+353214307870
4.5 (26)
CorkDental Dr John Seward, B.D.S.

CorkDental Dr John Seward, B.D.S.

See address and contact data
1 Camden Quay - 1, Cork
+353214501428
4.5 (82)
White Smile Dental
White Smile Dental

White Smile Dental

See address and contact data
3 Camden Quay - T23 TK5Y, Cork
+353214274271
4.4 (32)
Cork Dental Smiles
Cork Dental Smiles

Cork Dental Smiles

See address and contact data
12A St Patrick's Pl, St Patrick's Hill - T23 VP04, Cork
+353214501801
4.3 (31)
Cork City Dental

Cork City Dental

See address and contact data
4 Lavitt's Quay - T12 DH7Y, Cork
+353214270141
5 (132)
RIVER LEE DENTAL
RIVER LEE DENTAL

RIVER LEE DENTAL

See address and contact data
119 St Patrick's St - T12 W63F, Cork
+353214273713
4.9 (16)
Grand Parade Dental

Grand Parade Dental

See address and contact data
10 Grand Parade - T12 P8NH, Cork
+353214274510
4 (37)
Gurranabraher Dental
Gurranabraher Dental

Gurranabraher Dental

See address and contact data
9 gurranabraher road - T23 VX84, Cork
+353214288619
4.8 (68)
MetroMan Barbershop & Grooming
MetroMan Barbershop & Grooming

MetroMan Barbershop & Grooming

See address and contact data
35 Marlboro St - T12 PD60, Cork
4.9 (199)
Sisu Clinic
Sisu Clinic

Sisu Clinic

See address and contact data
60 Oliver Plunkett St - T12 RW10, Cork
+35312709201
4.6 (28)
SISU Smile

SISU Smile

See address and contact data
60 Oliver Plunkett St - T12 RW10, Cork
+353851892489

Add your dental clinic to our directory for free

If you manage a dental office and want to appear in our guide, send us your company information and you can appear completely free of charge.

Add your dental clinic for free

The largest dentist directory in Ireland

Find the best dentists near you